By Elyzaveta Bagriy | Fund development growth associate
We have received the following message from one of our family helpers that is responsible for Olexandra
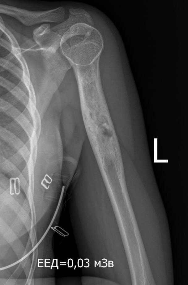
"Sasha's mother called, crying from happiness. They are now in Kyiv, just got out of the children's oncology center - Everything is fine! The oncologist studied everything from the very beginning, took another X-ray - everything is healing! Olexandra will only need to take some medication to facilitate the growth of her bone. What was thought to be a tumor is growing in the bone itself! And if it goes like this, then before the formation of a complete skeleton - by the age of 18 it should grow completely and then there will be no need for an implant! Annual check-ups, X-rays, and MRIs will continue to monitor her progress to ensure her well-being."
This miraculous turn of events has brought immense joy and relief to Olexandra's family. The family lives in Nikopol which is heavily shelled but they don't want to leave their home. Olexandra has been through two operations - one took place right after the incident and the other one was a biopsy of a tumor (21/09/2023) that turned out to be a benign formation. Now, it has become evident that her bone is regenerating naturally, eliminating the necessity for the previously planned surgery and implant.
As a result of this unexpected and heartwarming turn of events, the funds raised for Olexandra's surgery will be reallocated to "Support Ukrainian children of war" project that aims to help children who have lost one or both of their parents due to the war in Ukraine. We are incredibly grateful to all contributors for their generosity and support.
Please find all the relevant medical documents attached below for your reference. Photos were cropped as they contained a lot of personal information.
We extend our heartfelt gratitude to all involved in this project for your compassionate contributions and your commitment to making a difference in the lives of those in need.
Project reports on GlobalGiving are posted directly to globalgiving.org by Project Leaders as they are completed, generally every 3-4 months. To protect the integrity of these documents, GlobalGiving does not alter them; therefore you may find some language or formatting issues.
If you donate to this project or have donated to this project, you can receive an email when this project posts a report. You can also subscribe for reports without donating.





